Endolaser: Un tratamiento ambulatorio y rápido para el tratamiento de varices disponible en Clínica Molinón.
Las varices no se curan ni mejoran de forma espontánea, en realidad tienden a empeorar. Las consecuencias de no tratarlas van desde las molestias más o menos tolerables hasta la aparición de úlceras pasando por hemorragias o las flebitis. Actualmente es posible tratar las varices mediante técnicas muy poco…
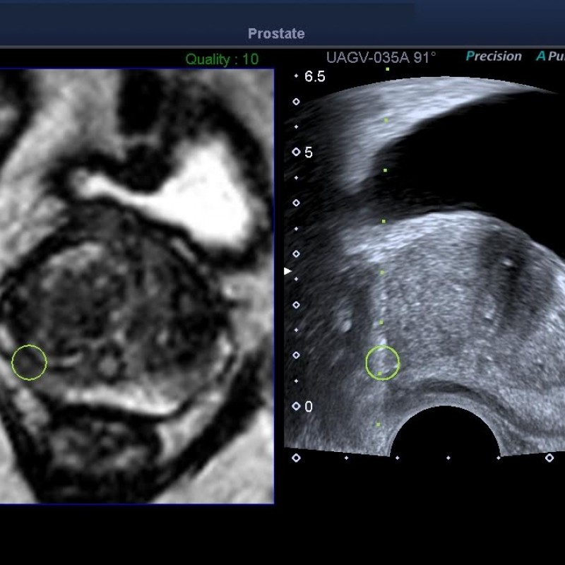
Clínica Molinón, centro pionero Smart Fusion de Toshiba.
La biopsia guiada por fusión con tecnología Toshiba llega a la medicina privada asturiana.
Es un placer anunciar que Clínica Molinón vuelve a ser noticia a nivel local y nacional por ser centro de medicina privada pionero en innovación médica y tecnológica al emplear la tecnología Smart Fusion de Toshiba…
Inauguración de la Clínica Molinón
El viernes 22 de abril tuvo lugar la inauguración de la Clínica Molinón, dirigida por el radiólogo Pedro García y el cirujano vascular Pedro Villabella.
Tras la visita a la clínica, se ofreció un vino español en el museo del estadio.
Prebisvértigo
El Presbivértigo no es una patología, sino que es una consecuencia natural del proceso de envejecimiento, que en este caso afecta a los órganos responsables del equilibrio, básicamente corresponde a lesiones degenerativas propias de la edad del sistema vestibular.

